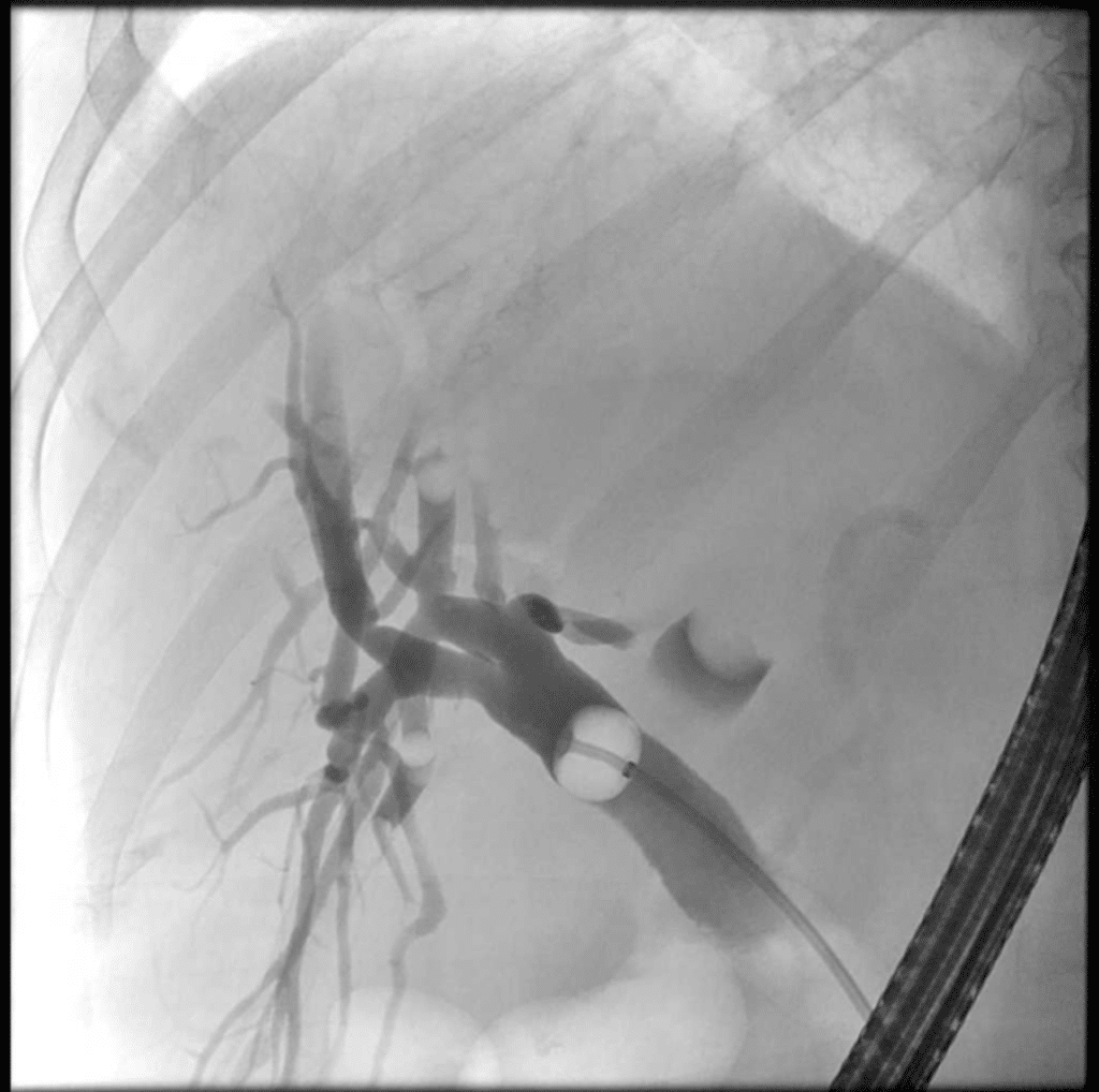
77-jährige Patientin mit Cholangitis bei ausgeprägter Choledocholithiasis und unklarer hilärer Stenose. Die Zuweisung erfolgte aus einem auswärtigen Haus, der V. a. ein perihiliäres cholangiozelluläres Karzinom wurde geäußert. Eine Papillotomie mit Extraktion von Konkrementen aus dem DHC erfolgte bereits. Zur genauen Darstellung der Stenose des Hilus führten wir einen Ballon in den Gallengang und füllten oberhalb mit Kontrastmittel: das rechte Gallenwegssystem erschien dabei unauffällig, links stellte sich eine große Kontrastmittel-Aussparung dar. Wir sondierten die Region mit Cholangioskop, hier zeigte sich ein großes Konkrement. Durch elektrohydraulische Lithotripsie (EHL) gelang die Zertrümmerung, mithilfe des Füllungsballons konnten multiple Konkremente entfernt werden. Eine tumoröse Stenose zeigte sich nicht. Sonographisch sahen wir am Folgetag Aerobilie.
#cholangioscopy #cholangitis#cholangiocarcinoma #sonography#sonographylife #ultrasound#ultrasoundpic #pocus #foamed#endoscopy #endoscopyimage#gastroenterology #eusandmore








