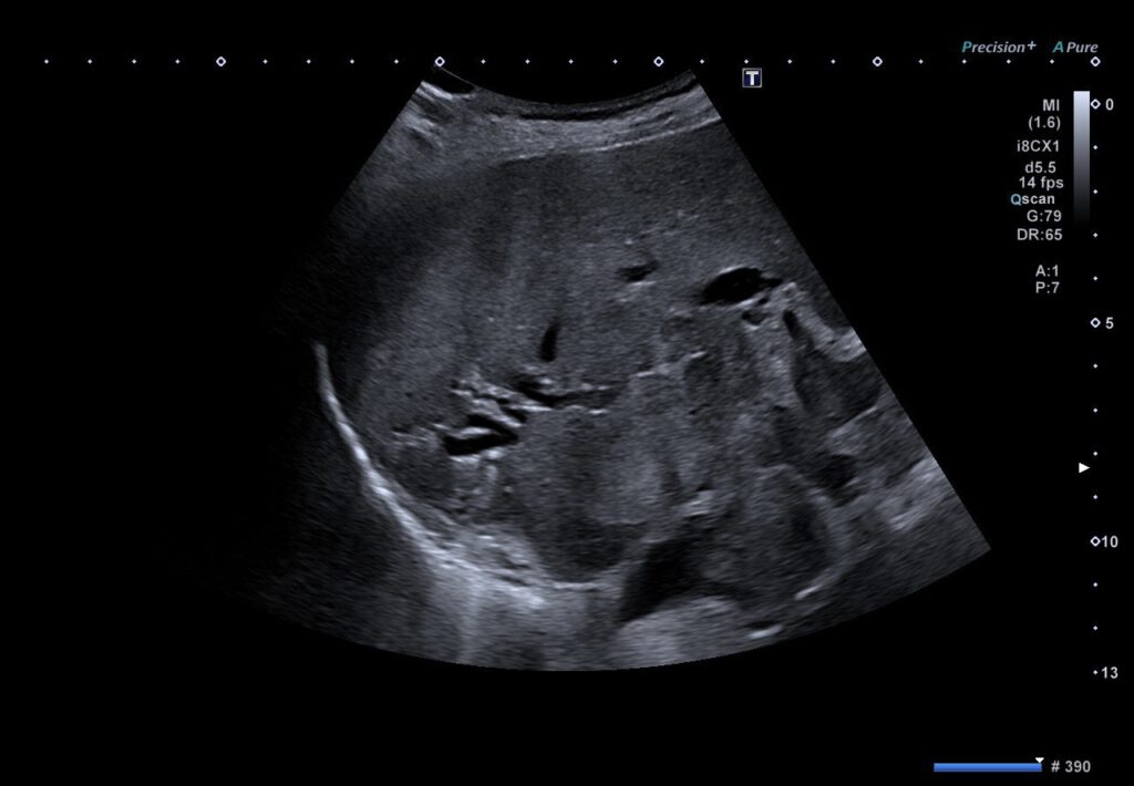
86-jährige Patientin mit intrahepatischer Cholestase bei dringendem V. a. hepatisch metastasiertes cholangiozelluläres Karzinom.
Klinisch erschien ein ikterisches Hautbild, zudem berichtete die Patientin von Gewichtsverlust. Sonographisch wurde ein Tumor in der Gallenblasenloge mit Infiltration des rechten Leberlappens gesehen. In der darauffolgenden ERCP stellte sich der proximale Ductus hepatocholedochus mit großem Füllungsdefekt dar, das Kontrastmittel passierte nur filiform die Engstelle. Letztlich musste die Untersuchung bei frustraner Tumorpassage abgebrochen werden, weswegen sich für die Durchführung einer EUS-geführten Cholangiodrainage entschieden wurde. Transgastrisch wurden die linksseitigen Gallenwege punktiert, intern antegrad gelang die Passage über die Tumorstenose mit nachfolgender Implantation eines partiell gecoverten SEM. Der transgastrische Zugangsweg wurde mittels Hanaro-Stent als Hepatikogastrostomie gesichert. In der sonographischen Abschlusskontrolle war eine Aerobilie wahrzunehmen, die Stents lagen regelrecht.
#endoscopy #endoskopie #ultrasound #sonography #sonographer #sonogram #sonographerlife #pocus #foamus #cholangiocarcinoma #gastroenterology #eusandmore








