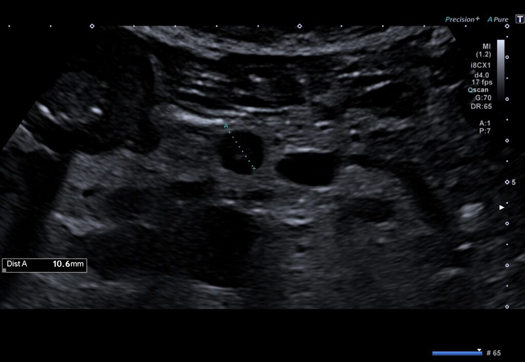
92-jährige Patientin mit Insulinom des Pankreas.
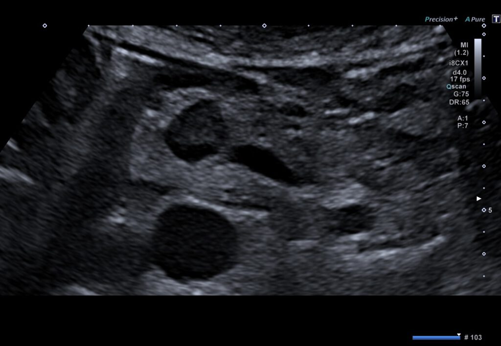
Wegen rezidivierender Hypoglykämien erfolgte die stationäre Behandlung. In der Abdomensonographie wurde ein kleiner echoarmer Tumor im Bereich des Pankreaskopfes auffällig, weswegen anschließend eine Endosonographie durchgeführt wurde. Hierbei bestätigte sich das Vorliegen eines hypervaskularisierten Tumors am Übergang zwischen Pankreaskopf und -korpus. Bei Multimorbidität und hohem Patientenalter wurde sich gemeinsam für die minimalinvasive Therapie der endosonographisch-geführten Ethanolinjektion entschieden. Nach Applikation von 1,5 ml 96% Ethanol stellte sich die Raumforderung in der kontrastmittelgestützten Sonographie-Kontrolle avital dar. Der Blutzuckerspiegel normalisierte sich rasch, die Patienten wurde ohne Notwendigkeit einer medikamentösen Therapie entlassen.
#sonography #ultrasound #sonographystudents #sonographylife #endoscopicultrasound #endoscopy #medstudent #pocus #foamed #gastroenterology #eusandmore






