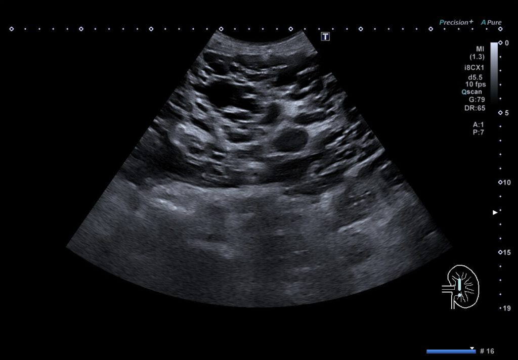
59-jährige Patientin mit infizierter Leberzyste bei polyzystischer Leber- und Nierendegeneration.
Oberbauchschmerzen, Schüttelfrost und Fieber führten zur stationären Aufnahme. In der Abdomensonographie wurden multiple Zysten der Leber und Nieren nachweisbar, wobei im rechten Leberlappen eine vermehrt echoreich gefüllte liquide Formation auffiel. Nach Probepunktion entleerte sich Eiter, weswegen eine perkutane Drainage angelegt wurde. Mikrobiologisch gelang der Nachweis eines E. coli. Bei deutlich fallenden Infektparametern und symptomfreier Patientin wurde die Drainage 7 Tage nach Anlage entfernt.
#sonography #ultrasound #ultraschall #ultrsoundpicture #ultrasoundpic #ultrasoundstudent #emergencyultrasound #pocus
#foamus #foamed #medstudent #sonographylife
#ultrasoundlife #sonographer #internalmedicine #inneremedizin #gastroenterology #eusandmore






