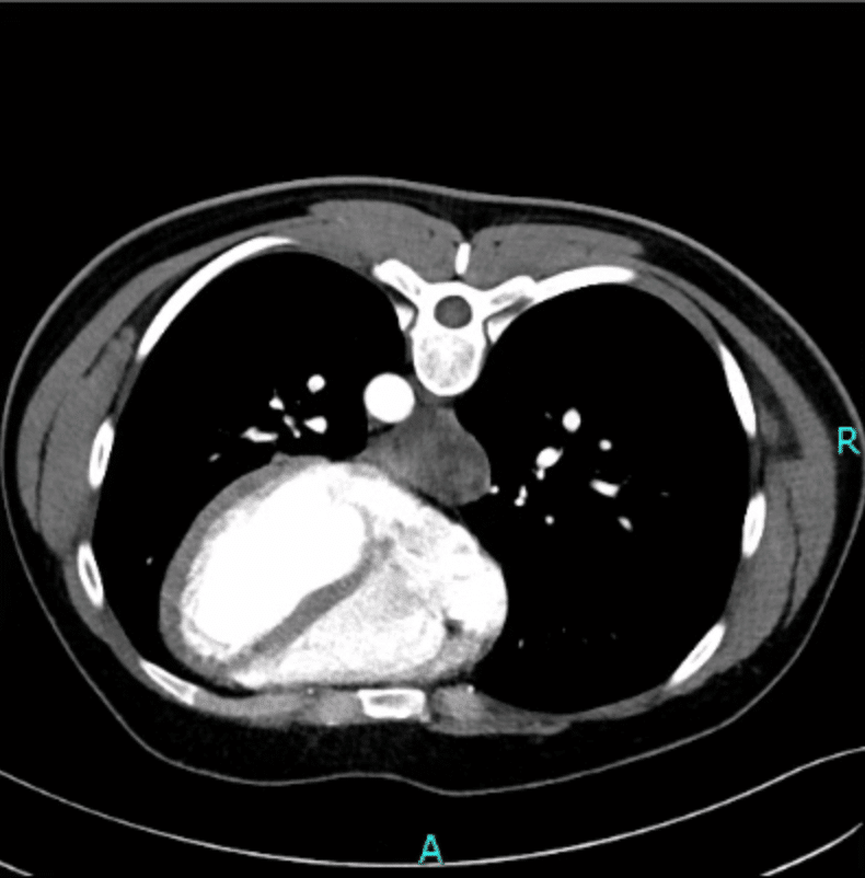
27-jähriger Patient mit akut einsetzenden, stärksten epigastrischen Schmerzen. Weitere klinische Beschwerden wurden negiert. Vorerkrankungen waren nicht bekannt. Sonographisch ergab sich ein Normalbefund. In einer CT-Angiographie stellte sich der Verdacht eines Hämatoms der distalen Ösophaguswand. In der Gastroskopie sahen wir eine Impression des distalen Ösophagus. Die Endosonographie stellte eine gemischt-echogene intramurale Raumforderung dar, sodass wir von einer spontanen Einblutung des distalen Ösophagus ausgingen. Es erfolgte eine analgetische Therapie und anschließende Verlaufskontrolle nach 2 Wochen. Klinisch wurden lediglich persistierende, leichte Schmerzen beim Schluckakt angegeben. In der Gastroskopie bestätigte sich ein spontan regredienter Befund.
#endoscopy #endoskopie #endoscopicultrasound #ultrasound #sonography #internalmedicine #gastroenterology #eusandmore





