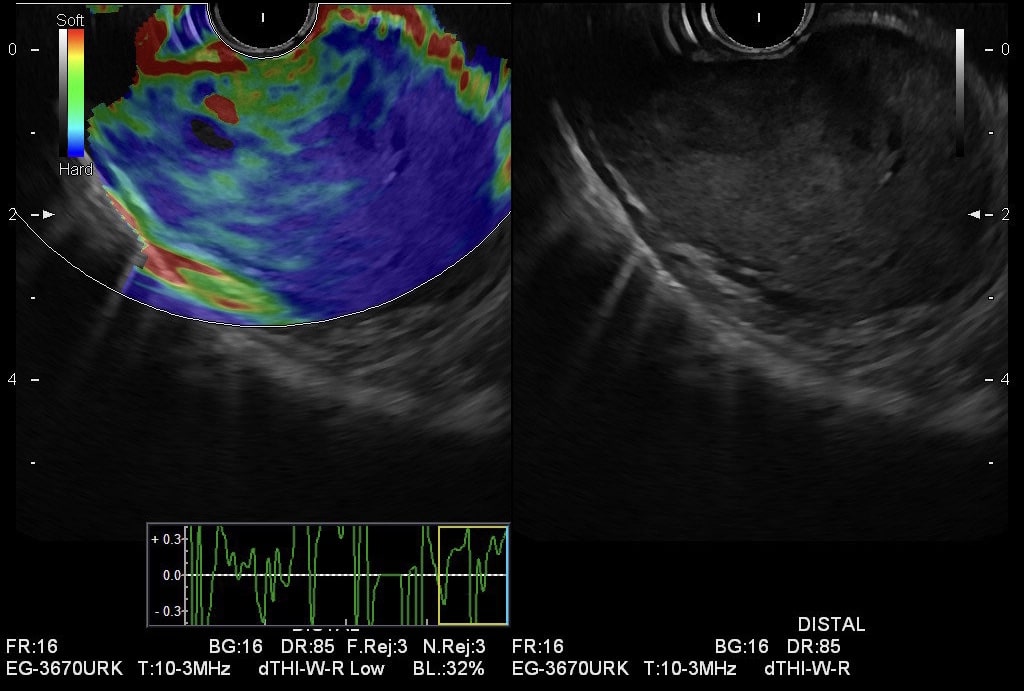
54-jährige Patientin mit GIST des Magens. Die Patientin wurde mit einer transfusionspflichtigen Anämie zugewiesen, klinischerseits wurde Teerstuhl vernommen. Bereits in der Abdomensonographie war eine Raumforderung im Bereich des Magens auffällig. In der daraufhin durchgeführten Ösophagogastroduodenoskopie sahen wir subkardial einen großen exulzerierten, submukösen Tumor. Endosonographisch stellte sich die Raumforderung scharf begrenzt dar, etwa 5 x 4 cm, zentral leicht inhomogen mit kleinsten echofreien Anteilen, insbesondere im Randbereich mit starken Gefäßen. Eine laparoskopische Magenteilresektion schloss sich nach Abschluss des Stagings an, der Tumor wurde vollständig reseziert. Die pathologische Aufarbeitung bestätigte die Verdachtsdiagnose eines gastrointestinalen Stromatumors.
#endoscopy #endoskopie #endoscopicultrasound #ultrasound #sonography #sonographerlife #foamed #pocus #internalmedicine #gastroenterology #eusandmore






