62-jährige Patientin mit Autoimmunpankreatitis Typ I.
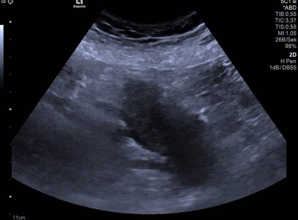
MR-morphologisch wurde der V. a. ein Pankreasschwanzkarzinom geäußert, abdomensonographisch bestätigte sich die Darstellung einer großen echoarmen Raumforderung im Pankreasschwanz. Diese erschien nach Kontrastmittel-Gabe hyperkontrastiert, was eher gegen ein duktales Pankreaskarzinom sprach.
Endosonographisch ergab sich das Bild einer segmental chronischen Pankreatitis im Schwanzbereich mit vergrößerten Lymphknoten parapankrean – eine solide Raumforderung war nicht darstellbar.
In der anschließenden ERP zeigte sich ein normal weiter Pankreasgang im Kopfbereich, im Pankreaskorpus und -schwanz mit filiformer, irregulärer Verengung. Die Nebenäste 1. Ordnung stellten sich hier regelrecht ohne Abbruch der Kontrastierung dar.
Die erweiterte Laborchemie ergab einen normalen IgG4-Spiegel und eine unauffällige Elektrophorese.
Wir entschieden uns für die sonographisch-gestützte Punktion der Pankreasraumforderung. Histologisch ergab sich eine chronisch-sklerosierende Entzündung unter Einschluss von Plasmazellen, partiell mit IgG4-Immunphänotyp, Karzinomzellen wurden nicht beschrieben.
Es wurde die Diagnose einer autoimmunen Pankreatitis Typ 1 gestellt und wir begannen die Therapie mit Prednisolon. In den sonographischen Verlaufskontrollen nach 6 Wochen und 9 Monaten stellte sich das Pankreasparenchym unauffällig dar, die Patientin war beschwerdefrei.
#sonography #ultrasound #sonographylife #sonographystudent #medstudent #pocus #foamed #autoimmunedisease #gastroenterology #eusandmore






