52-jähriger Patient mit Afferent-Loop-Syndrom nach pyloruserhaltender Pankreaskopfresektion bei Pankreaskarzinom – Teil 2/2.
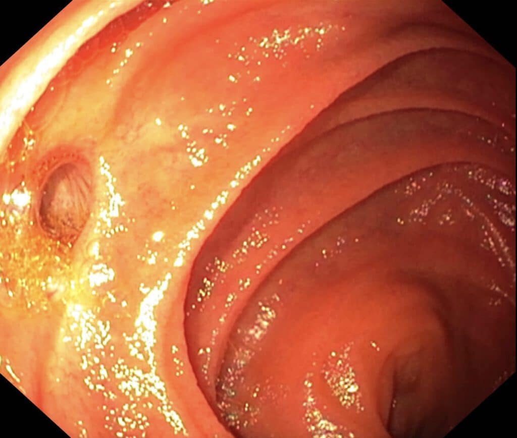
Nach erfolgreicher Anlage einer EUS-geführten Gastroenterostomie erfolgte die endoskopische Inspektion der zuführenden Schlinge via AXIOS™. Hierfür musste zunächst eine Ballondilatation des transgastrischen Stents erfolgen. Makroskopisch erschienen weder an der Hepatikojejunostomie noch an der Stenose der Schlinge tumoröses Gewebe. Nach Probeentnahme an der Stenose wurden jedoch mikroskopisch Infiltrate des bekannten Adenokarzinoms mit Lymphgefäßkarzinose detektiert. Dem Patienten wurde eine palliative Chemotherapie empfohlen.
#endoscopy #endoskopie #endoscopicultrasound #endoscopicultrasonography #sonography #ultrasound #pocus #afferentloopsyndrome #pancreaticcancer #pankreaskarzinom #axiosstent #internalmedicine #inneremedizin #gastroenterology #eusandmore





